Guidance that impacts outcomes. Spine & Trauma Navigation delivers real-time guidance in the O.R., supporting accuracy, safety and interoperability throughout your procedures. With our open platform, we’re enabling seamless integration of instruments and imaging systems while optimizing workflows across a broad data-driven ecosystem.
Research that is shaping spine surgery innovation
Start your next chapter in spine navigation here
Guiding the surgeon’s expertise
Where every step writes a better ending
Patient Reference Portfolio
Discover our versatile Spine Patient Reference Portfolio
Drill Guide
Guide spine and trauma surgery at every level with our navigated Drill Guide
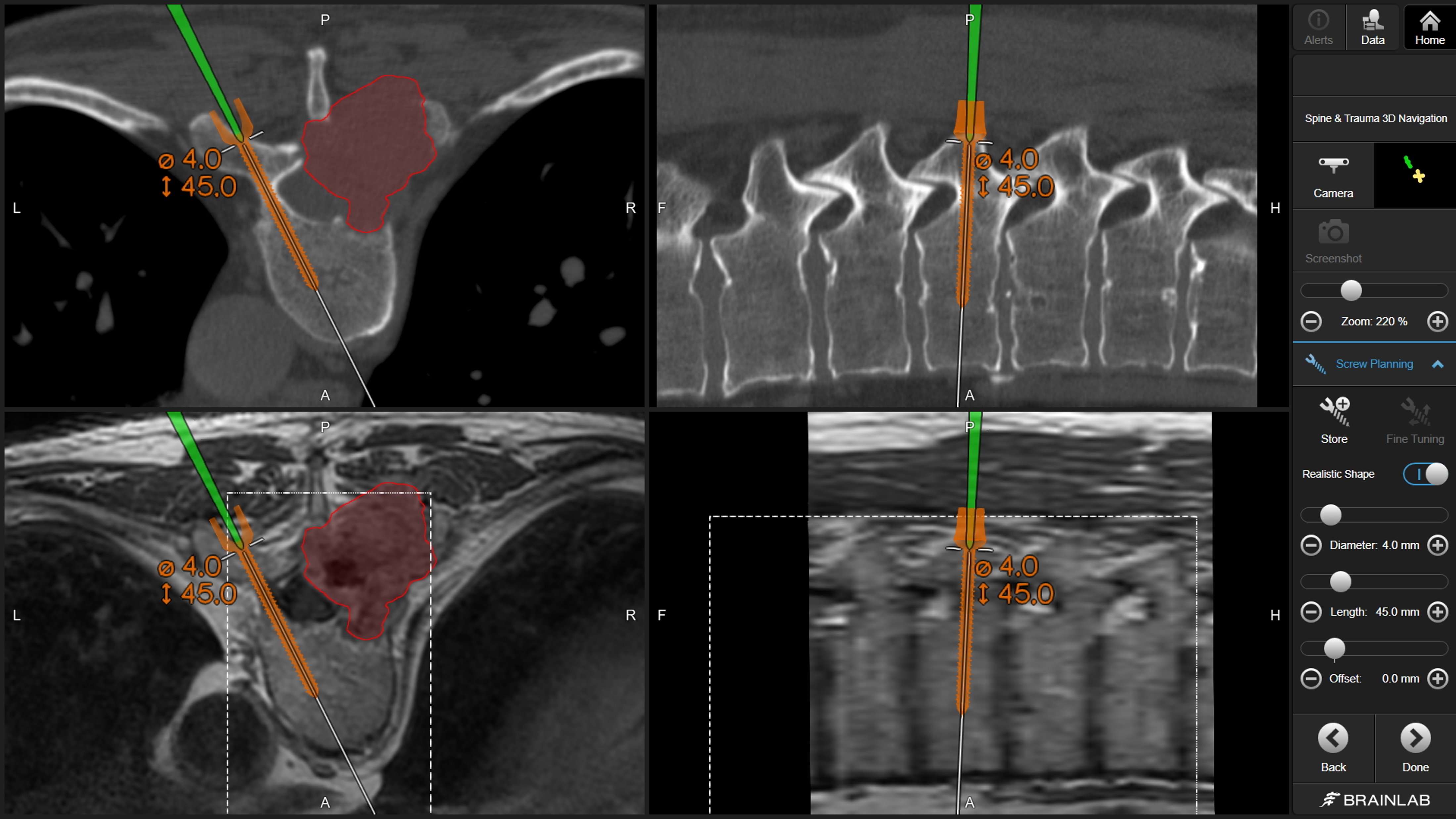
BoneMRI integration
Plan and perform navigated spine surgeries with BoneMRI by MRIguidance
CIARTIC Move 3D C-arm integration
Integrate the Siemens Healthineers CIARTIC Move 3D C-arm with Brainlab Spine Navigation
Leading the way for every spine journey
Odds ratio freehand vs. navigated: 3.35; 95% confidence interval, 1.8651-6.0028; p < 0.01; inverted odds ratio for navigated vs. freehand (calculated): ~0.3.
BoneMRI by MRIguidance.











