Learn about total knee replacement, advanced orthopedic planning for revision knee replacement and what the future holds for patient-centered orthopedic surgery with Alexander Greenberg, MD, from Hadassah Medical Center.
According to a study published in The Bone & Joint Journal, global revision rates for total knee arthroplasty are estimated to be around 6% after five years and 12% after ten years.
Revision surgery can oftentimes be more involved than a primary knee replacement due to factors like accumulated scar tissue and the need for specialized implants. Read on to learn how TraumaCad was used to restore a patient’s mobility and comfort.
This doctor-patient profile comes from Alexander Greenberg, MD, from Hadassah Medical Center. Dr. Greenberg outlines the importance of preoperative planning when performing knee revision surgery.

Alexander Greenberg, MD, is an assistant professor of orthopedics at the Hebrew University of Jerusalem and an attending surgeon at the joint replacement and reconstruction unit of the Hadassah Medical Center orthopedic complex. Dr. Greenberg received his MD from the Hadassah-Hebrew University Medical School in 2009 and completed his residency in orthopedic surgery at Hadassah in 2015. He then went on to a joint replacement fellowship in Cleveland, Ohio, in 2016, after which he returned to Hadassah as an attending surgeon. In 2019, he completed another fellowship year in complex joint reconstruction at the Hospital for Special Surgery in New York.
Background
Thirty years prior, the patient underwent a total replacement of her left knee and was satisfied with the outcome. Twelve years later, she had a similar procedure on her right knee. For years, the patient enjoyed an active and happy life, thanks to the success of these surgeries. The patient came to the hospital in 2024 as she was experiencing pain, swelling and a reduced range of motion in her left knee. Radiographs confirmed the loosening of the implants — a clear sign that it was time for a revision surgery.
Despite its complexity, knee revision surgery is essential for patients whose quality of life depends on the functionality of their knee implants.
The method: precise & personalized
Dr. Greenberg and his team used TraumaCad orthopedic planning software to plan the patient’s knee revision surgery. Dr. Greenberg explains that “TraumaCad is particularly useful in revisions, as it helped us to anticipate challenges, such as areas of bone loss and the need for special implants. We used the patient’s right knee, whose size we knew from her operative report, to set the calibration to 127%, to allow us to plan components matching the patient’s anatomy.”
A tailored approach
Opting for a patient-specific strategy, Dr. Greenberg and his surgical team selected a hinged knee implant that is specifically designed for immediate post-surgery stability and weight-bearing. The TraumaCad preoperative planning process revealed that the patient required a smaller-than-average implant. By using preoperative planning software, the team was aware of this need and able to procure the implant in advance, helping to avoid any delays or complications due to non-availability of the correct implant during surgery.

Surgery day: the plan comes together
In the O.R., Dr. Greenberg and his team executed the preoperative plan with precision. The old and loose implants were removed, the bones were prepared, and the new hinged implant was securely placed. Incorporating the TraumaCad digital templating process for preoperative planning gave Dr. Greenberg both the confidence and satisfaction in knowing that the surgery would progress successfully and the outcomes would be desirable.
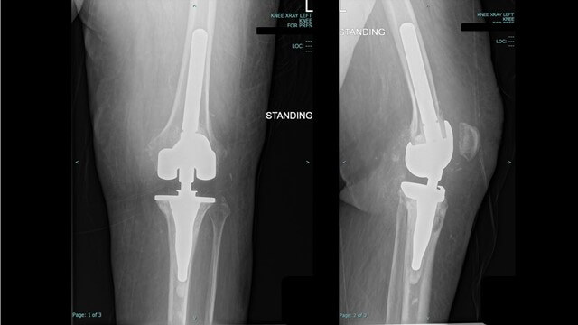
The outcome: a pain-free future
Dr. Greenberg’s patient experienced a quick and normal recovery without complications. She was discharged only two days after her surgery and follow-up X-Rays six weeks later revealed perfectly aligned implants. Today, the patient enjoys a pain-free existence and walks without issue: a testament to the success of her knee revision surgery.


End-to-end orthopedic templating software
The statements made by the healthcare professional during this interview represent their personal opinion and experiences. These statements may not be supported by scientific evidence or peer-review research. For verified information about the device, please refer to the manufacturer’s official documentation or consult clinical guidances.